
苗栗中正路一家超商外,2日下午3點多發生持刀攻擊事件,一名邱姓男子將水果刀綑綁手上,傷害2名11歲女童及1名50歲男子,分別送往苗栗衛福部醫院及大千醫院救治;其中大千醫院外科部長馮啟彥表示,原以為50歲林姓男子只有氣血胸,事後才發現橫膈膜及肝臟都有破裂及大量出血現象,傻眼道「是怎樣的深仇大恨?」質疑累犯為何不「終身監禁」?另外苗栗縣長鍾東錦今(5)日表示,縣政府會扛起醫療費用,同時盼類似事件別再發生。
苗栗中正路一家超商外,2日下午3點多發生持刀攻擊事件,一名邱姓男子將水果刀綑綁手上,傷害2名11歲女童及1名50歲男子,分別送往苗栗衛福部醫院及大千醫院救治;其中大千醫院外科部長馮啟彥表示,原以為50歲林姓男子只有氣血胸,事後才發現橫膈膜及肝臟都有破裂及大量出血現象,傻眼道「是怎樣的深仇大恨?」質疑累犯為何不「終身監禁」?另外苗栗縣長鍾東錦今(5)日表示,縣政府會扛起醫療費用,同時盼類似事件別再發生。
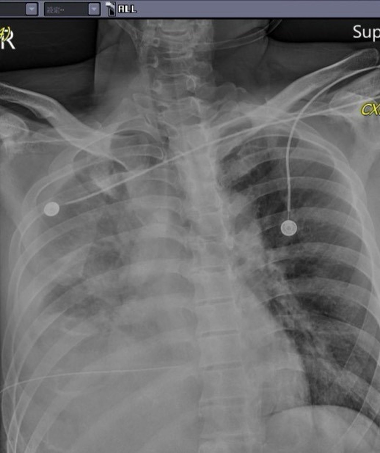
苗栗2日發生持刀攻擊事件,其中50歲林姓男子被送往大千醫院搶救,外科部長馮啟彥就分享,當天下午被急診找去看林姓受害人時,「真的是傻眼,是怎樣的深仇大恨?」馮啟彥說,本來以為只有氣血胸,但是置放胸管後,仍有持續性出血現象,因為利刃穿刺很深,導致橫膈膜及肝臟都有破裂及大量出血,因此當晚由胸腔外科及一般外科醫師聯手一起介入手術,所幸3日上午已經能夠清醒的與大家致意。
馮啟彥表示,中秋節連假本應為家人團圓歡聚的好日子,卻發生隨機殺人憾事,認為很多強暴犯、殺人犯、縱火犯、吸毒者,總是一而再再而三不停的累犯,且「常被縱容」,直言根本是「消耗社會成本及醫療資源」,質疑這些累犯為何「不能判更重,甚至終身監禁,與社會隔絕?」

苗栗縣長鍾東錦今(5)日表示,很感謝社會各界對被害人的關心,第一時間縣府團隊就到醫院關心,其中丁姓女童要轉院時,市府相關單位全力協助,甚至當時因社會處的準備不夠,自己也貼了一點金額,至於沒轉院的被害者,會按社會處規定給予一定的急難救助。
鍾東錦指出,其實苗栗縣政府的急難救助共累計捐款1000多萬,而這1000多萬本就來自社會的善款,不過因縣政府當時訂定急難救助金辦法時把條件綁得太死,限制在3萬塊以內,因此就按照規定能夠辦到什麼程度,剩下救助金額會從其他的款項來支援。

鍾東錦強調,不能讓被害人在被害的同時,還要去擔心醫療費用及其他衍生費用負擔,因此「縣政府應該要扛起來」,這事自己本就有的打算;至於憾事一再發生,鍾東錦堅持,未來苗栗縣若有毒品人口要返回,地檢署、矯正機關一定要讓地方警察局、社會處、衛生局詳細知悉和注意,盼能與法院討論社會危險人口的管制和管理,甚至進行輔導,另因苗栗縣目前沒有監獄,鍾東錦認為有增設必要,降低再犯風險。
★《鏡報》提醒您:吸菸有害健康、吸菸害人害己。