胸腔科醫師蘇一峰在臉書粉專分享一則案例,一名50歲男子近期因咳嗽,且在鎖骨附近摸到一顆硬硬的凸起物,不敢大意前往醫院做檢查,怎料醫師觸診時就驚覺疑似有淋巴結,立即替患者安排照X光,果真在其肺部發現一顆5公分大的腫瘤,初步推測恐怕是肺癌第三期。

胸腔科醫師蘇一峰在臉書粉專分享一則案例,一名50歲男子近期因咳嗽,且在鎖骨附近摸到一顆硬硬的凸起物,不敢大意前往醫院做檢查,怎料醫師觸診時就驚覺疑似有淋巴結,立即替患者安排照X光,果真在其肺部發現一顆5公分大的腫瘤,初步推測恐怕是肺癌第三期。
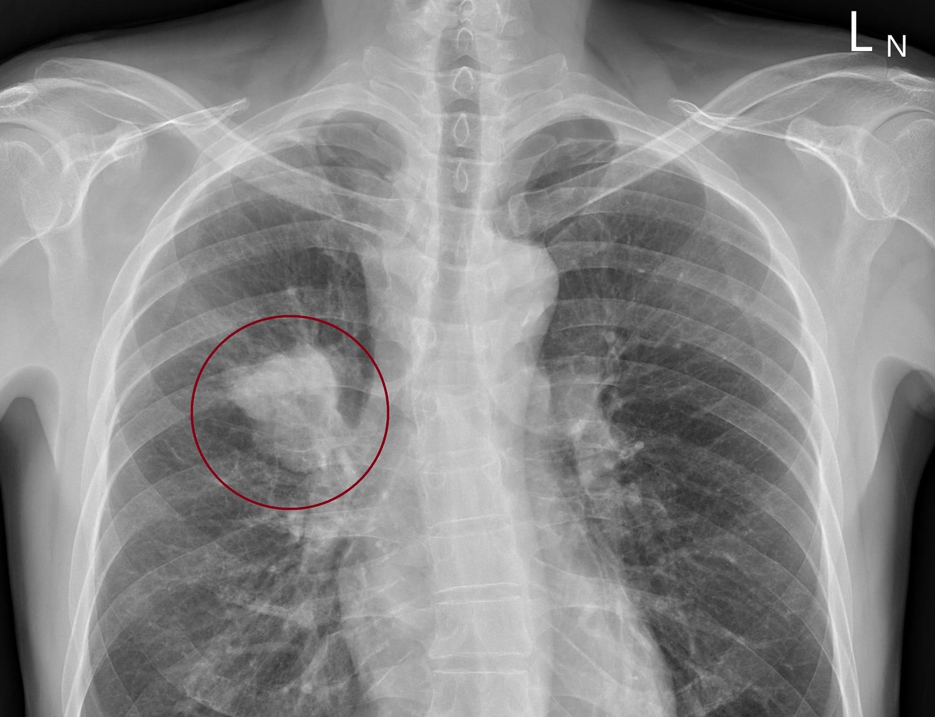
胸腔科醫師蘇一峰在臉書粉專指出,一名50歲男子在右邊脖子下面、鎖骨上面凹窩處摸到一粒硬硬的,來到門診進行檢查,他觸診時發現果然有一顆直徑約一公分的淋巴結,觸感硬硬的,但摸了並不會疼痛,讓他相當擔心,懷疑是肺部腫瘤,於是立即幫男子安排X光檢查。在X光檢查出爐後,男子當場看傻眼,因為他目前的症狀僅有一點點咳嗽,但沒想到肺部已經長了一顆五公分的腫瘤。
蘇一峰醫師說明,鎖骨上窩(supraclavicular fossa)的淋巴結,下面直通的器官就是肺部,長在肺部的腫瘤有的時候癌細胞往上面擴散時,就會轉移到這個淋巴結。由於淋巴結是身體的免疫關卡,會把淋巴管中的壞東西,包括細菌、病毒及癌細胞等等攔截下來,過去也真的遇過不少肺癌患者,在鎖骨上窩會摸到硬的淋巴結,他也提醒,如果有在該處摸到淋巴結,一定要趕快到醫院檢查。
根據《ETtoaday健康雲》報導,該名患者無家族病史,曾抽了30幾年菸,不過也已戒菸多年,近期因出現些微咳嗽症狀,加上摸到脖子下方的硬塊,才前往就醫檢查,怎料竟確診罹患肺癌,目前雖患者尚未做完電腦斷層,但仍可初步推測至少已為癌症第三期。