美國明尼蘇達州一名女子分享自已小時候經常穿父親的工地外套取暖,卻在十幾年後被診斷,因長期接觸石綿罹患肺癌,甚至一度被醫師判定僅剩約15個月壽命。所幸經積極治療後,如今她已存活逾20年,並投入演講,提醒大眾重視石棉危害。

美國明尼蘇達州一名女子分享自已小時候經常穿父親的工地外套取暖,卻在十幾年後被診斷,因長期接觸石綿罹患肺癌,甚至一度被醫師判定僅剩約15個月壽命。所幸經積極治療後,如今她已存活逾20年,並投入演講,提醒大眾重視石棉危害。
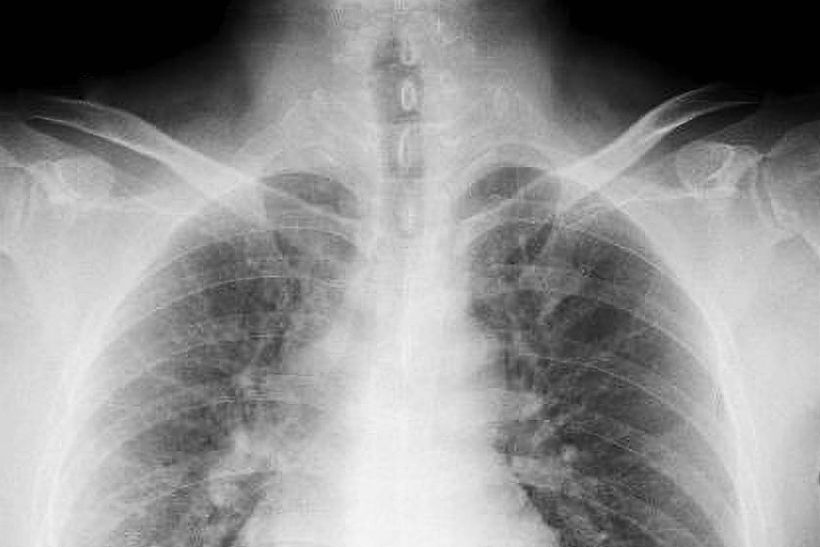
據《每日鏡報》報導,現年57歲的詹姆斯(Heather Von St James)表示,小時候在寒冷夜晚會穿上父親從工地帶回的外套外出餵寵物兔,當時並不清楚外套上的灰白粉塵其實含有石棉。直到36歲懷孕期間,她出現長期疲倦與發燒等症狀,就醫後透過電腦斷層檢查發現肺部有腫瘤,最終確診為胸膜間皮瘤(pleural mesothelioma),是一種由接觸石棉引起的侵襲性肺癌。
醫師當時告知她,若不接受手術壽命僅剩約15個月。隨後她經歷手術,切除左肺及腫瘤所在的胸膜、一根肋骨肋骨、部分橫膈膜及心臟內膜,並接受了4輪化療與30次放療,最終成功控制病情,但因僅剩單側肺部,日常生活仍受到一定影響,例如容易喘、體力下降等。
資料指出,石棉相關疾病多在長時間暴露後才發病,潛伏期可長達數十年。目前,詹姆斯持續在各地分享自身經歷,推廣對石棉相關疾病的認識與預防。她也提到,隨著醫療進步,相關疾病的治療方式已有顯著提升,希望自身經歷能為其他患者帶來信心與支持。
相關文章